So quarantine was over, which also now meant I was able to get my first ultrasound. Still in lockdown, so I can’t go anywhere else. And I will be staying like that for a while I think.
Ultrasound was booked in for Tuesday, which was week 7, day 2, so very early days. Technically a dating ultrasound, but given we knew the conception date, this was to measure and make sure everything was looking good.
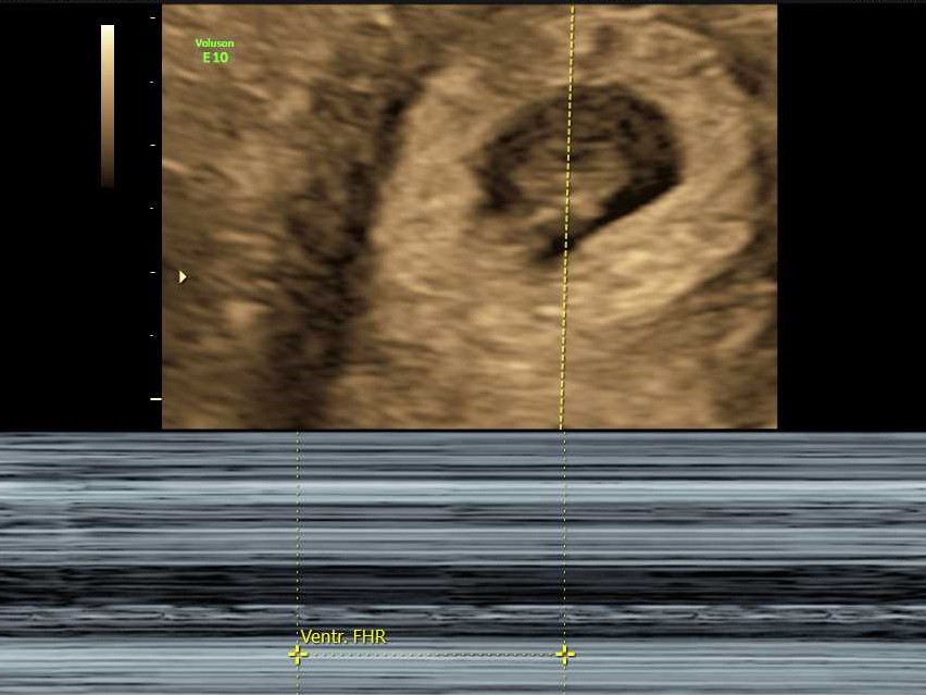
Very exciting. And nerve-wracking! I had read that I might be able to hear a heartbeat too.
On my way into there, I was having the strangest thoughts. I seriously thought it was going to be all fake. They would put the ultrasound thing on me and see nothing and discover that my body was faking it all. Talk about paranoia!
Anyway, it was super easy, and I video called my mum and bestie to watch, and it was great to have them there to see it with me.
I got to see a tiny dot, I guess. There wasn’t much to it. But it was there. I didn’t get to hear a heartbeat, too early for that, but we got to see it, and they could measure it – 146 beats per minute, very good heartrate. And the CRL (which I have just learnt is the “Crown to Rump” measurement) was 1.10cm. Tiny! But it was something.
I know it was still early days, and anything could happen at this stage, but to know there was something there was very cool. And to get some photos for my records.
Honestly, not much more going on. Life, in general, is pretty dull. Lockdown means I’m just working, going to appointments and staying at home.
However, I also got to speak with the fertility doc about these results, and she was pleased. She even thanked me for being so easy! Funny.
And also, I was finally able to get off the progesterone. That was a relief also. Some mild side effects, but given my natural progesterone levels were great, and the team were happy for me to be off them.
The next thing to book in was another ultrasound in week 9, as well as from 10 weeks, the NIPT test. It stands for Non-Invasive Prenatal Testing, which is the blood test you can have in your first trimester to check on the chromosome health of your pregnancy. It can tell the gender of your baby too. So early now.
And I don’t want to get into the whole gender political debate. If I’m having a girl, I like pink and will dress them in pink. I will also dress them in blue, purple, yellow, black, etc. And visa versa with a boy. I also like blue! I get there is a whole thing now about gender-neutral, and if my baby decides one day it wants to be another gender, then no problems. But for right now, I want to know what I am having, which is my right as a parent.
Symptoms for weeks 7 & 8:
- Bloating: More and more bloating. But I have discovered one of the triggers. Yoghurt! Which sucks. I like yoghurt, but right now, it does not like me. When my stomach expands so severely after a small amount, it might be good to avoid it!
- Constipation: Another bit of too much info, but I think it’s related to the bloating from the yoghurt. It seems to have eased up well. I am drinking lots of water also.
- Spotting: This has mainly been while coming off the progesterone pessaries. I did call the nurse about it a couple of times as I was concerned. It took about a week or so to ease up. This is pretty normal while coming off the pessaries while your body settles itself into normal. Tests were all still excellent.



